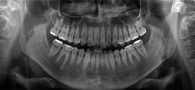
Standard panoramic
Patient information is automatically stored for convenient imaging during revisits.



Genoray's patented mechanical design delivers Cephalo images with minimal distortion(applicable to GT300-C).
The voice guidance system and LED mood lighting enhance patient comfort.



All images of the patient can be organized as thumbnails, allowing for smooth capture and viewer entry.
Item name : Darkroom Computed Tomography X-ray System
Deliberation approval number : Union-2024-21-057
Valid period : 2024-06-18 ~ 2027-06-17
"This product is a medical device, please read the precautions and usage carefully before use."